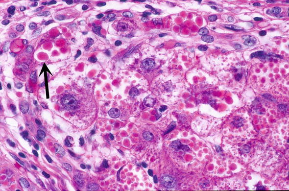
Ceroid Laden Macrophages Liver. Elucidating the mechanisms by which they mediate this process is crucial. Venous outflow obstruction Other Changes Seen in Areas of Severe Parenchymal Necrosis Congestion. Figure 1610 Ceroid laden macrophages. There are numerous ceroid-laden macrophages throughout consistent with prior injury.
Flow cytometry can be used to quantify the accumulation of ceroid in macrophages the result of cellular handling of certain lipoproteins. Elucidating the mechanisms by which they mediate this process is crucial. Granulomatous colitis can be observed and major causes of death are hemorrhage and pulmonary interstitial fibrosis with intraalveolar ceroidladen macrophages. Few days Haematoxylin Van Gieson or Trichrome Type I collagen fibres Portal tracts walls of. 2 3 Eight human HPS genes are known. Ceroid contains modified lipoproteins such as MDA-LDL which are generated as a consequence of chronic oxidative stress.
Granulomatous colitis can be observed and major causes of death are hemorrhage and pulmonary interstitial fibrosis with intraalveolar ceroidladen macrophages.
The inflammation is predominantly lymphoplasmacytic and spills out into the parenchyma interface activity. Granulomatous colitis can be observed and major causes of death are hemorrhage and pulmonary interstitial fibrosis with intraalveolar ceroidladen macrophages. 2 3 Eight human HPS genes are known. Liver-function tests were normal before treatment and viral hepatitis panels were negative before and after treatment. PDF Macrophages are key regulators of fibrosis development and resolution. This technique may serve as a useful adjunct to the mHAI in the assessment of liver injury in hepatitis C.